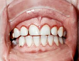
Гінгівіти – запалення вільного краю ясен.
Симптоми: ясна набряклі, припухлі, кровоточать, печуть (при гострому), застійні, синюшні,набряклі, рихлі (при хронічному), з переходом пародонтиту в пародонтоз починають хитатися і випадати зуби, з поганий запах з рота.
Лікування: при гострому гінгівіті – гігієна рота, чай при пародонтозі, чай стоматологічний, прополісна олія. При хронічному – гірудотерапія, чай при пародонтозі, чай стоматологічний, одночасне лікування шлунка, оскільки не вилікувавши шлунок не вилікуєш хронічний пародонтит.

Бажаєте отримати додаткову інформацію? - залишіть Ваші контакти - ми зв’яжемось з Вами...
Відгуки відсутні. Буть першим!
Для додавання відгуків авторизуйтесь або зареєструйтесь
Як запобігти ускладненням гіпертонічної хвороби? Як уникнути розвитку інсульту, інфаркту, частих гіпертонічних кризів, як можна вплинути на густину крові, тонус судин?
Натисніть ТУТ«натисніть тут» і про все це дізнайтесь з даної статті.